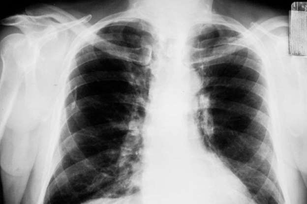
A young 31 year old woman was diagnosed with lung cancer, and has never smoked a day in her life. She was an athlete with a daily work out routine until one day she noticed she was having discomfort and her work outs were becoming harder to complete. Doctors told her she is just working too hard and to take things easy, but she knew it was something more than that. After a CT scan, she was diagnosed with lung cancer. What she did not realize was that her home was exposed to radon, a gas seeping from the soil and causing her cancer. click here
 
			 
				 
						
Comments are closed.